History of the surgery (from UW Orthopaedic Surgery and Sports Medicine)
The Eden-Hybbinette procedure was performed independently by Eden (Eden, 1918) in 1918 and by Hybbinette (Hybbinette, 1932) in 1932. Eden first used tibial grafts, but both authors finally recommended the use of iliac grafts. This procedure is supposed to extend the anterior glenoid. It has been used by Palmer and Widen, (Palmer and Widen, 1948) Lavik, (Lavik, 1961) and Hovelius (Hovelius, Akermark and Albrektsson, 1983) in treating shoulder subluxation and dislocation. Lavik modified the procedure by inserting the graft into the substance of the anterior glenoid rim. Lange (Lange, 1944) inserted the bone graft into an osteotomy on the anterior glenoid. Hehne and Hubner (Hehne and Hubner, 1980) reported a comparison of the Eden-Hybbinette--Lange and the Putti-Platt procedures in 170 patients; their results seemed to favor the latter. Paavolainen and coworkers (Paavolainen et al, 1984) reported on 41 cases of Eden-Hybbinette procedures; 3 had recurrent instability, and external rotation was diminished an average of 10 per cent. They found the results similar to their series of Putti-Platt operations. Ten per cent in each group developed degenerative joint disease!
Niskanen and coworkers (Niskanen et al, 1991) reported a series of 52 shoulders with a mean follow-up of 6 years that had been treated with a modification of the Eden-Hybbinette procedure. The operation involved the creation of a trough through the capsule and into the anteroinferior aspects of the scapula neck. A tricortical iliac crest bone graft was then wedged into the trough without fixation. A 21% recurrence rate was attributed to one spontaneous dislocation and 10 traumatic redislocations. Postoperative arthrosis was noted in nine shoulders and early degenerative changes in an additional 18 shoulders.
The following case illustrates the challenges and difficulties in treating a patient who is young and active and unfortunately has a failed prior reconstruction for anterior traumatic instability associated with a seizure. Initially, he was diagnosed with an anterior dislocation, fracture of the greater tuberosity, and soft tissue Bankart lesion. The first operation performed elsewhere was an open Bankart repair with repair of the rotator cuff and resection of the CA ligament. When referred to us he had a chronic locked anterior shoulder dislocation, a large size Hill Sachs lesion and chronic rotator cuff deficiency. Although, arthrodesis or reverse total shoulder replacement are the alternatives, due to his young age, an attempt was made to reduce the dislocated humerus and prevent further dislocations. The was clinically anterior superior escape, during surgery it was found that the subscapularis was ruptured, and the CA ligament was resected during the previous operation. The rotator cuff repair that was performed primarily had failed. An Eden Hybbinette procedure was chosen because the alternative Latarjet would have provided an insufficient -small bone - restraint to anterior directed forces and tendency for anterior dislocation.
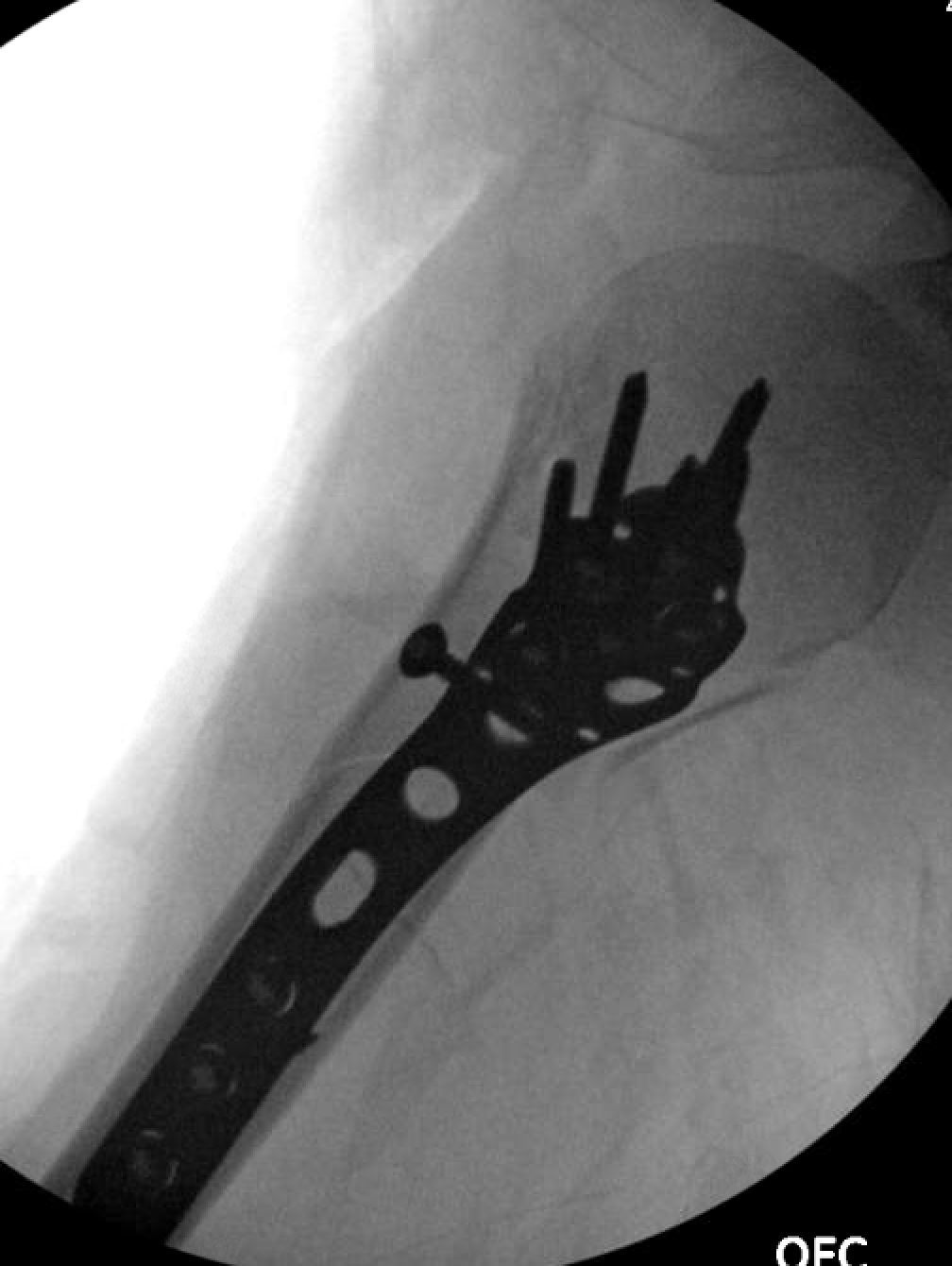
Postoperative images after the Eden Hybbinette are shown below:







































